2020年9月18日,我院骨伤科在古恩鹏教授带领下由刘广东副主任团队成功开展了首例关节镜下前交叉韧带重建术+内侧副韧带修复术+外侧半月板后角修复术,术后患者恢复状况良好,正在骨科进行术后康复。该手术的成功开展,填补了我院骨科技术该领域的空白,同时标志着我院骨科关节镜微创治疗上的又一进步。
患者张某,女,32岁,诉6小时前不慎扭伤(外旋外翻)致右膝关节肿痛,活动不利,自行外涂活血化瘀药物,症状无减轻。遂由门诊收治入院。
经刘广东副主任及其团队进行专科查体及对影像学的评估,认为患者为右膝前交叉韧带断裂、内侧副韧带撕裂、外侧半月板后角撕裂。
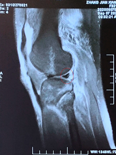
MRI可见:前交叉韧带断裂(红圈所示)

MRI可见:内侧副韧带股骨止点撕裂(红圈所示)

MRI可见:外侧半月板后角撕裂(红圈所示)
在完善各项术前检查后,该反复进行病情研究及讨论,最终决定为患者用关节镜技术重建前交叉韧带并修复半月板,采用微创切口修复内侧副韧带。最终骨科刘广东副主任、刘加宝医师、张超医师,在手术室麻醉医生、护士通力配合下顺利完成手术。术后患者恢复状况良好,目前正在进一步恢复中。
这台重建术是在关节镜下进行操作,几乎对膝关节周围软组织不会产生影响。而传统开放术式则需要打开整个膝关节,且术中会对周围软组织有影响。关节镜技术具有创伤小、病人痛苦小、容易接受、术后恢复快、适应部位广泛等优点,目前已普遍应用于肩关节、肘关节、腕关节的手术。
一直以来我院骨伤科医务人员坚持高标准高要求自己,在原有成熟手术基础上,不断钻研、创新。本次关节镜下重建手术的成功开展,是骨伤科不断挑战新技术上里程碑式突破,标志着天津中医药大学第四附属医院暨天津市滨海新区中医医院骨伤科手术迈入微创化、精准化、智能化时代。目前医院骨伤科已开展相关诊疗及手术技术,欢迎有需求的朋友前来就诊。
|